Four months ago, I made the courageous decision to cut my 12 inch hair off entirely. Here's a video of the day, the event, and the aftermath: https://www.youtube.com/watch?v=eZpAY8zrkEg A huge thank you to my good friends Maxi Battaglia and Ponita Reasmy for making this video possible. It is a wonderful record of a major moment in [...]
Tag: Life lessons
What 5 Chinese women taught me in Women’s History Month

Just because they don’t get to vote for their government, or don’t have the economic stability you do, or don’t have access to the resources you take for granted, doesn’t mean those women don’t fight for their rights just like you. In fact, you might be surprised at how far they have gone to get rights women around the world deserve.
Lijia Zhang on ambition, writing and her public role in contemporary China (Interview: part 1)

People outside China imagine that 1.3 billion people exist in a very controlled, very rigid environment here. But for lots of ordinary people, the cage has expanded so much that they don’t often feel the limit.
Head in the clouds vs. feet on the ground: best ways to travel

Anyone who knows me well, or at all, really, will attest to the fact I am a great traveller. I don't mean to boast; I use 'great' in reference to the degree of my enthusiasm. I mean that I have a huge urge to be often on the move, and regularly struggle hard to keep [...]
Looking back: 2015 in review

This has been a whirlwind of a year. In the past 12 months, I've truly settled into a happy, fulfilling life in China. I've got a lot to be proud of, much of it a result of hard work, some of it springing from luck. But it didn't all go smoothly. I began the year [...]
My fear of failure and how I use it as a motivational tool
Lying side by side in the darkness one evening, at that time of night when we know we should be sleeping but have our most honest conversations, he asked me something he had yet to learn about me: “What are you most afraid of? Is it Spiders? Snakes?” No, I’m not scared of spiders or [...]
Polluted?

Beijing is shrouded in a pore-clogging, snot-blackening blanket of horrific pollution. And has been for days. It hangs over the city, blocking the view in every direction, permeating every inch of space. The "fog" blurs the edges of buildings, casts an eery light in daytime and, at night, neon street lights and car headlights alike bleed [...]
方便: China’s obsession with convenience

Convenience is a myth for the majority of Chinese people. A myth lived out only by the elite, those rich enough to consider time more important than money. For everyone else, it is a long perpetuated lie cast by the shadow of capitalism hanging over the lives of 1.4 billion people. A lie many no longer believe will ever come true.
A sweet, sour, bitter, spicy life
In Chinese, there is an expression: 酸甜苦辣 Pronounced: Suan, Tian, Ku, La It literally means as Sour, Sweet, Bitter, Spicy and translates as the joys and sorrows of life. I love this phrase. It is true to life anywhere in the world. But it seems to lend itself particularly well to life in China. As my Chinese tutor explained to [...]
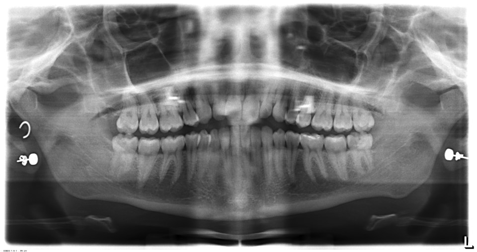
Chinese Dentist Time

What time is it? It's Chinese Dentist Time! When I was a kid, just as ten to ten became Cowboy Time (ten to ten to ten ten ten..., two thirty became tooth hurty - Chinese Dentist Time. It was years before I realised the racism of this joke. But it has nonetheless been circling my head for the [...]
