What time is it?
It’s Chinese Dentist Time!
When I was a kid, just as ten to ten became Cowboy Time (ten to ten to ten ten ten…, two thirty became tooth hurty – Chinese Dentist Time. It was years before I realised the racism of this joke. But it has nonetheless been circling my head for the past week.
I have spent months trying to find a dentist within convenient distance who I trust. I had two fillings by a friend of a friend back in June, the first of which still hurts. I trust her judgement on necessary treatment, just not so much the follow through. She spent several hours yanking on my friend’s wisdom tooth before they rushed him to hospital because she was both unable to pull the tooth and unable to staunch the bleeding…only about a month before his wedding.
I can’t say I have been able to get good advice from many people. Most expats, it seems, do not a) take care of their teeth, b) have bad teeth that they need to take care of, or c) feel safe enough to entrust themselves to a Chinese dentist. I don’t have much choice, unless I want to live with severe shooting pains through my jaw every time I eat until I visit the UK in July, at which point I would probably need six teeth removed through sheer neglect. I cannot believe it took me so long to actually see a dentist!

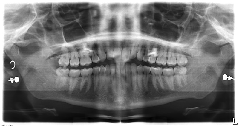
But this week, having decided I had to at least get ONE thing ticked off my to-do list, I walked into a Wudaokou dentist, and just happened to catch an English-speaking assistant before she left work at 9.30pm. So they X-Rayed me, had a prod about to discern where the pain was coming from and then gave me an appointment.
Tomorrow, I am getting a wisdom tooth removed. I am somewhat scared. It’s bad enough trying to communicate with a person when they have tools and their hands inside your mouth in order to cause you pain. This dentist, though, does not speak my language.
So, without further ado… Wish me luck!!
P.s. More on this to come, after the “surgery”…

